hyper intelligent speech enhancement

Sharpi. Worlds first deep neural network based system specialised in ensureing crystal clear communication

Trusted by…

Greater Copenhagen Firedepartment​

Denmark

ECA Vaud​

Switzerland

Neyðarlínan​

Iceland

SOS Alarm

Sweden

Emergency Medical Services - Capital Region​

Denmark

Ministry of Interior​

Portugal

0:00 / 0:00
Add custom scenario
Use file pickers or HTTPS URLs (CORS must allow fetching/decoding).

Try Sharpi right away

Here you can test the incredible effect Sharpi has on speech understanding – and discover why we say “never miss a word”

Inspired by the brain

Powered by science

Proven by reality

Sharpi is a revolution in speech-enhancement software, powered by advanced, AI-driven technology inspired by the human brain. Just as our brains learn to recognize and focus on specific voices over time, Sharpi has been trained on millions and millions of audio samples to do the same — only faster and more precise.

Once Sharpi detects a voice, it isolates and amplifies it while simultaneously suppressing surrounding noise. It mimics the brain’s natural ability to filter sound—but with enhanced accuracy and speed.

While the concept may sound simple, the underlying technology is highly sophisticated and extremely complex. It's a world first, changing the way we look at noise reduction.

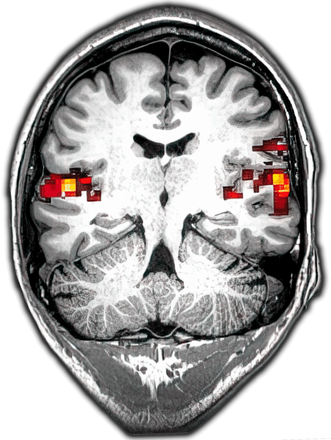
Brainscan of founder Mette Carstensen showing brains reaction while detecting voice

REAL TIME CRYSTAL CLEAR SPEAK

Built for critical communication

Sharpi transforms noisy chaos into crystal-clear speech in real time. Every command, every word, is delivered with precision—vital in environments where a single misunderstanding can cost lives. 

The noise is not just noise

In emergencies, background noise often holds crucial clues. Sharpi isolates voices but preserves context, ensuring operators hear both the person speaking and the urgent signals hidden in the noise.

Five years training ahead

With over five years of deep learning training, Sharpi has a decisive head start. This advantage means smarter models, faster adaptation, and a clear technological lead which will benefit you every day on the job.

The coffee moment

In 2018, over coffee, Mette and Martin saw the flaw in noise reduction: it distorted voices. Martin realized the solution wasn't removing noise, but identifying and enhancing speech - similar to how the AlexNet model learned to distinguish cats from dogs in images. Both animals have fur, ears, eyes and noses, but they look different. That idea sparked Augmented Hearing: smarter voice-in-noise detection: If you can separate a picture of cat from a picture of a dog, you can also separate voice from noise.

Sharpi. Military Grade.

Sharpi is Military Grade, which means it is a rock-solid solutions built for the highest levels of discretion, reliability and performance. Sharpi has successfully completed a high-impact trial with a military unit, straight out of the box. This was only possible thanks to a robust, core-level product design and an uncompromising commitment to quality:

- 100% offline operation
- No third-party software — complete control of the codebase
- Exceptional reliability
- Extreme performance — built to handle the toughest tasks

For the past 2.5 years, Sharpi has been running in partnership with Hovedstadens Beredskab (Greater Copenhagen Fire and Rescue Service) a Danish HEM-approved facility. (HEM = classified). There are NATO and EU equivalents known as NATO SECRET and EU SECRET. Being able to reference operations in a HEM-approved environment speaks volumes in a single sentence — addressing critical security concerns and instantly overcoming objections.

Cases

Where and how we help

Thanks for getting in touch

We are happy to help - please fill out the form below, and we will get back to you shortly.

Getting started with SHARPI is simple. One of our consultants will get back to you, and arrange for you to receive a simple unobtrusive demo unit, that allows you to test a simplified version of SHARPI in your own real-world environment.

Built to fit any scenario

Engineered for adaptability, SHARPI integrates seamlessly with virtually any server, telephone, or radio system. It requires no modifications to existing infrastructure and can be deployed instantly across diverse communication platforms.

Goodbye noise reduction - hello Sharpi

Unlike conventional noise reduction, SHARPI understands the sound scene. This empowers you to take control of what you want to hear. When speech is your focus, Sharpi eliminates noise and amplifies human speech 200 times more efficiently than conventional methods.

Trained to recognize both voice and non-verbal sounds (e.g., breathing), it produces crystal-clear speech, shortens call duration, and improves service quality while reducing stress for operators.

No data transmitted

SHARPI operates entirely offline. It stores and transmits no audio data, ensuring complete privacy and eliminating the need for an internet connection.

Built-in transcription


This is delivered as an add-on "Sharpi-Agent" that will help you navigate complexity in varying critical performance levels in European languages and ensure stability across language changes.

True real-time communication

With a latency of less than 10 milliseconds, SHARPI enables authentic real-time communication. Voice transmission is fast, reliable, and secure, ensuring no information is missed.

Trained like the human brain

SHARPI has superior capability to filter distracting noise and focus on what matters.

Detects language

SHARPI integrates an advanced translation engine capable of converting any language into any other language in real time. This ensures immediate comprehension and accurate interpretation during conversations.

AI-driven

At its core, SHARPI leverages advanced artificial intelligence, modelled on the principles of human learning. 

Like a child acquiring language, it has been trained through repeated exposure to diverse sound patterns. This enables unparalleled accuracy in voice recognition and enhancement.

Millions and millions of calls handled

SHARPI is deployed in multiple countries worldwide, processing millions of calls with zero reported errors. The result: fewer mistakes, reduced stress, and improved safety in critical communications.

Add Your Heading Text Here

Amazing Paragraph Text

Amazing Paragraph Text